When most people think about going to the dentist, they imagine a quick polish and a reminder to floss more often. But regular dental check-ups are much more than just a cleaning—they’re a vital part of maintaining your overall health.
Let’s take a closer look at why these visits matter and what they can really do for you.
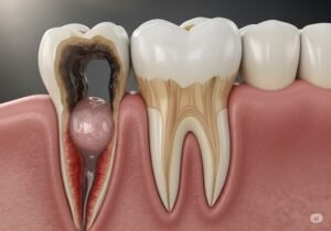
🦷 1. Early Detection of Dental Problems
Cavities, gum disease, and even oral cancers often start silently, without pain or obvious symptoms. Regular check-ups allow your dentist to catch these issues early, when they’re much easier (and less expensive!) to treat. What might be a small filling today could turn into a root canal or tooth loss if ignored.
👄 2. Gum Health Matters More Than You Think
Gum disease is one of the leading causes of tooth loss in adults, and it’s often painless in the early stages. During your visit, your dentist or hygienist will check the health of your gums to prevent gingivitis from progressing into periodontitis. Healthy gums are the foundation of a healthy smile!
🩺 3. Oral Health = Whole Body Health
Did you know your mouth is a window into your body’s overall health? Studies have linked poor oral hygiene to serious conditions like heart disease, diabetes, and even Alzheimer’s. By keeping up with your dental visits, you’re not just taking care of your teeth—you’re helping protect your entire body.
🔍 4. Professional Cleaning Removes What Brushing Can’t
Even with the best brushing and flossing habits, plaque and tartar can build up in hard-to-reach areas. A professional cleaning removes these deposits, leaving your teeth cleaner and your breath fresher than brushing alone can manage.
😁 5. Confidence Starts With a Healthy Smile
A healthy, bright smile boosts your confidence and makes a great first impression. Regular check-ups keep your teeth in top shape, so you can smile without hesitation.
🗓️ How Often Should You Visit?
Most people benefit from a dental visit every six months, but your dentist may recommend more frequent visits depending on your individual needs. Whether it’s been 6 months or 6 years, it’s never too late to take that first step.
✅ Final Thoughts
Regular dental check-ups are a simple, powerful way to invest in your long-term health and well-being. At City alpha dental care the best dental clinic in Dubai do Regular dental check-ups are a simple, powerful way to invest in your long-term health and well-being. At City Alpha Dental Care, we’re here to make those visits comfortable, personalized, and stress-free. Visit the best dental clinic in Dubai today for top-notch dental care services tailored to your needs. , we’re here to make those visits comfortable, personalized, and stress-free.
Ready to schedule your next appointment?






